Buen precio  en línea

Detalles de los productos

Created with Pixso. Hogar Created with Pixso. Productos Created with Pixso.
Estética biomimética dental
Created with Pixso. Estudio de caso de la corona dental de zirconia.

Estudio de caso de la corona dental de zirconia.

Nombre De La Marca: Joydenta
Cuota De Producción: Flexible
Tiempo De Entrega: 4 días laborables
Condiciones De Pago: T/T PAYPAL
Información detallada
nueva página web:
www.joydenta-lab.com
nueva página web:
https://joydenta-lab.com/es/
Detalles de empaquetado:
Envase de burbujas con caja
Capacidad de la fuente:
500 casos por día
Resaltar:

Dentaduras de zirconia con aspecto natural

,

Dientes postizos de zirconia dental

,

Prótesis dentales de zirconia para reemplazo de dientes

Descripción de producto

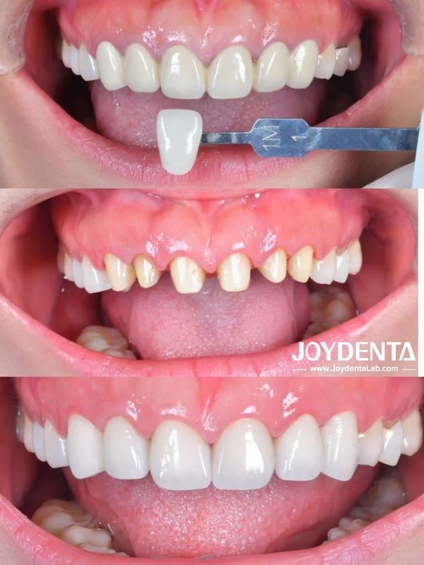
Estudio de caso de la corona dental de zirconia Premium Global Outsourcing por Joydentalab

Este caso clínico presenta una restauración secundaria para un paciente que previamente recibió coronas de metal-cerámica hace muchos años.y solución estéticamente avanzadaLa clínica dental seleccionó elcoronas dentales de zirconiosistema fabricado porJOY Laboratorio Dental, y el resultado es un claro paso adelante tanto en precisión como en rendimiento estético.

Como se muestra en las imágenes, la diferencia entre la antigua prótesis y la nueva restauración de zirconio es significativa.coronas dentales de zirconioEntrega:

  • Mejora de la precisión y translucidez del color

  • Una forma anatómica refinada que se integra armoniosamente con los dientes naturales del paciente

  • Resistencia y estabilidad a largo plazo superiores

  • Materiales biocompatibles adecuados para pacientes sensibles

La clínica dental y el paciente expresaron su satisfacción con el resultado final.Reforzando por qué la zirconia sigue siendo uno de los materiales más confiables en la odontología restaurativa moderna.


Por qué los laboratorios dentales mundiales eligen JOY Dental Lab para restauraciones de zirconia

Como unlaboratorio dental de primera calidadespecializada en la externalización internacional,JOY Laboratorio Dentalapoya a los laboratorios dentales de todo elEstados Unidos, Australia y Reino Unidocon soluciones de zirconio de alta precisión.

Nuestras ventajas incluyen:

  • Consistencia del diseño digital mediante un flujo de trabajo CAD/CAM avanzado

  • Materiales de zirconio multicapa de alta resistencia

  • Tiempo de respuesta estable para clientes globales

  • Control de calidad estricto para garantizar resultados predecibles

  • Comunicación profesional para la cooperación de laboratorio a larga distancia

Ya sea que necesite cajas de una sola unidad, puentes de zirconia de arco completo o restauraciones con implantes, proporcionamos un soporte de producción confiable adaptado a los laboratorios dentales globales.


Socio con un laboratorio de externalización global de confianza

Si su clínica o laboratorio está buscando un socio confiable paracoronas dentales de zirconiola fabricación,JOY Laboratorio Dental ofrece precisión de fabricación, estética natural y un excelente servicio internacional.

Damos la bienvenida a los laboratorios dentales de todo el mundo para colaborar y elevar sus resultados de restauración con la artesanía de zirconia de alta calidad.

Buen precio  en línea

Detalles De Los Productos

Created with Pixso. Hogar Created with Pixso. Productos Created with Pixso.
Estética biomimética dental
Created with Pixso. Estudio de caso de la corona dental de zirconia.

Estudio de caso de la corona dental de zirconia.

Nombre De La Marca: Joydenta
Cuota De Producción: Flexible
Detalles Del Embalaje: Envase de burbujas con caja
Condiciones De Pago: T/T PAYPAL
Información detallada
Nombre de la marca:
Joydenta
nueva página web:
www.joydenta-lab.com
nueva página web:
https://joydenta-lab.com/es/
Cantidad de orden mínima:
Flexible
Detalles de empaquetado:
Envase de burbujas con caja
Tiempo de entrega:
4 días laborables
Condiciones de pago:
T/T PAYPAL
Capacidad de la fuente:
500 casos por día
Resaltar:

Dentaduras de zirconia con aspecto natural

,

Dientes postizos de zirconia dental

,

Prótesis dentales de zirconia para reemplazo de dientes

Descripción de producto

Estudio de caso de la corona dental de zirconia Premium Global Outsourcing por Joydentalab

Este caso clínico presenta una restauración secundaria para un paciente que previamente recibió coronas de metal-cerámica hace muchos años.y solución estéticamente avanzadaLa clínica dental seleccionó elcoronas dentales de zirconiosistema fabricado porJOY Laboratorio Dental, y el resultado es un claro paso adelante tanto en precisión como en rendimiento estético.

Como se muestra en las imágenes, la diferencia entre la antigua prótesis y la nueva restauración de zirconio es significativa.coronas dentales de zirconioEntrega:

  • Mejora de la precisión y translucidez del color

  • Una forma anatómica refinada que se integra armoniosamente con los dientes naturales del paciente

  • Resistencia y estabilidad a largo plazo superiores

  • Materiales biocompatibles adecuados para pacientes sensibles

La clínica dental y el paciente expresaron su satisfacción con el resultado final.Reforzando por qué la zirconia sigue siendo uno de los materiales más confiables en la odontología restaurativa moderna.


Por qué los laboratorios dentales mundiales eligen JOY Dental Lab para restauraciones de zirconia

Como unlaboratorio dental de primera calidadespecializada en la externalización internacional,JOY Laboratorio Dentalapoya a los laboratorios dentales de todo elEstados Unidos, Australia y Reino Unidocon soluciones de zirconio de alta precisión.

Nuestras ventajas incluyen:

  • Consistencia del diseño digital mediante un flujo de trabajo CAD/CAM avanzado

  • Materiales de zirconio multicapa de alta resistencia

  • Tiempo de respuesta estable para clientes globales

  • Control de calidad estricto para garantizar resultados predecibles

  • Comunicación profesional para la cooperación de laboratorio a larga distancia

Ya sea que necesite cajas de una sola unidad, puentes de zirconia de arco completo o restauraciones con implantes, proporcionamos un soporte de producción confiable adaptado a los laboratorios dentales globales.


Socio con un laboratorio de externalización global de confianza

Si su clínica o laboratorio está buscando un socio confiable paracoronas dentales de zirconiola fabricación,JOY Laboratorio Dental ofrece precisión de fabricación, estética natural y un excelente servicio internacional.

Damos la bienvenida a los laboratorios dentales de todo el mundo para colaborar y elevar sus resultados de restauración con la artesanía de zirconia de alta calidad.